中国医药网移动版

  • 南京做无痛人流到哪家医院较好?南京玛丽妇产医院

    日期:2019-08-13 17:05:32 点击:139 好评:0

    人流是会给身体造成很多伤害的,女性对于这些地方的护理其实就是很需要细心的,然而对与这些知识的不了解,就容易带来很多麻烦。那么人流后如何护理呢,有什么比较好的方式呢,应该怎么去处理呢,接下来给大家讲解一下。 女性在做完人流手术以后半个月可以穿...

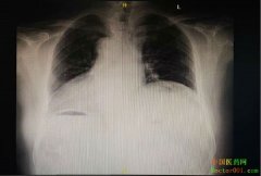
  • 燕达医院成功为罕见“右位心”患者完成房颤左心耳封堵

    日期:2019-08-13 17:03:03 点击:177 好评:0

    不久前,河北燕达医院血管外科收治了一位76岁的姜先生,老人家左上肢毫无诱因地疼痛且触感冰凉,经查为肱动脉血栓栓塞。考虑到患者是一位有多年房颤病史的罕见右位心,血管外科随即邀请心内二科住院总医师李胜朝会诊。 对于这位右位心,李医生有些犹豫,在请示科室...

  • 杭州华研医院正规标准诚信行医

    日期:2019-08-13 17:01:51 点击:116 好评:0

    在很多人的观念里,有病就应该到大城市治疗,的确如此,大城市医疗资源比较多,医生们的诊疗经验、阅历更加丰富,对于疾病的认知更有自己独特的见解,但对于非一线城市的患者来说,去大城市看病路程远舟车劳顿加上预约号一号难求,排队等问题往往使得患者痛苦不堪,为...

  • 李沧区青岛新阳光妇产医院私密整形怎样?靠谱吗?

    日期:2019-08-13 16:59:50 点击:195 好评:0

    据统计,80%的男性希望自己是伴侣的第一个男人,希望两人的第一次能够落红。小小的处女膜成了判断一个女人贞洁与否的标志。青岛新阳光妇产医院新阳光处女膜修复术,针对运动意外、幼年暴力事件以及多次性生活史、生育史的女性,利用残存的处女膜和现代科学方法,...

  • 网红面霜诺必行不合格检测报告,谈谈我对酮康唑的理解

    日期:2019-08-13 16:55:53 点击:133 好评:0

    先说说我吧。我于 13 年毕业,所学的专业是生物学,毕业后一直在一家第三方检测机构上班。在专业性来说,在这个领域我还算是说得上话的。 从这些天的一些文章来看,似乎是极力想证明酮康唑的危害,但是多少算是危害?多少才能起作用?只字未提。全篇下来都是...

  • 郑州美莱整形正规靠谱吗 品牌形象官全城招募 火热报名中

    日期:2019-08-12 17:48:06 点击:71 好评:0

    爱美是女人的天性,有人先天而美,有人后天蜕变。郑州美莱实力整救不完美,自今日起至8月20日,郑州美莱品牌形象官全城招募活动火热报名中! 活动主题: 郑州美莱品牌形象官全城招募 报名时间: 即日起8月20日 复赛时间: 8月2425日 审核标准: 根据参赛的选手的形象...

  • 2019年中国医院协会血液净化中心分会年会隆重开幕

    日期:2019-08-12 17:28:24 点击:129 好评:0

    2019年8月9日上午8点,由中国医院协会、中国医院协会血液净化中心分会主办的《2019年中国医院协会血液净化中心分会年会暨第11届中国血液净化论坛》【2019-03-05-219 (国)】在山西太原湖滨国际大酒店(山西国际会议中心)隆重举行,近3000人参加此次论坛开幕式。...

  • 涂缓缓入驻叮当快药,生理期一键下单快速缓解疼痛

    日期:2019-08-12 17:24:36 点击:105 好评:0

    在瞬息万变的互联网时代,企业唯有自我驱动,持续多维进化,才能立足于不败之地。涂缓缓保持灵敏的 市场嗅觉和快速的市场应变能力, 积极开拓市场 , 2019 迎来全新的业务架构 布局, 2019年8月1日, 涂缓缓与叮当快药在北京签署战略合作协议,标志着 涂缓缓...

  • 株洲三三一爱尔眼科李琳院长荣获“屈光手术带教老师”资质证书

    日期:2019-08-12 17:19:14 点击:206 好评:0

    短短数十秒的时间就可以轻松告别近视,时下,近视手术越来越受年轻朋友的欢迎。但是,很多朋友不知道的是,短短数十秒时间,考验的却是手术医生数十年的功力,台上一分钟,台下十年功,用在近视手术医生身上一点也不为过。 近日,株洲三三一爱尔眼科医院喜传佳音:李琳...

  • 云南疼痛病医院专业吗 大众好评值得信任

    日期:2019-08-12 17:17:38 点击:143 好评:0

    云南疼痛病医院电话 经常头痛是什么原因 随着生活节奏的加快,人们的压力越来越大,相信大部分人都有过头痛的感受,偶尔头痛可能与劳累,精神紧张等有关,但是如果是经常头痛,就要引起注意了。 经常头痛是怎么回事呢? 云南疼痛病医院专家 为你详说 在我们...