|
12月23日,伴随着正雅GS颌位重建技术学术峰会在济南圆满落幕,标志着由正雅集团联合泰康拜博沈刚教授团队举办的“颌位重建技术学术峰会”用“共计25场,场均700人,总参与人数达数万”的成绩开创了正畸乃至口腔历史上的先河。 要搞清楚“25”这个看上去并不怎么惊人的数字为何创造了正畸学术峰会史上的新记录,还要从隐形正畸是什么谈起。
“溪云初起日沉阁,山雨欲来风满楼” 1945年,美国人Kesling首次提出了正位器这一概念,但受限于材料本身,直到1971年无托槽隐形矫治器才落到实地,而国内隐形正畸真正起步已经是千禧年。 相较于舌侧隐形矫正,无托槽隐形正畸的发展之路可谓一波三折,无论是医生还是用户都用了较长的时间来接受一层薄薄的膜片可以完成牙齿的矫正。虽然起步较晚,但青睐于隐形正畸的人数每年却节节攀升。 根据头豹研究院发布的《2019年中国隐形牙套行业概览》显示,随着中国居民收入持续提高,消费者对于牙齿正畸等需求增多,仅2014年至2018年中国隐形行业病例数量已由3.4万例增长至19.4万例,年复合增长率为54.6%。 在如此庞大的市场面前,数亿元的资本蜂拥而上,国内正畸市场在经历质疑-融资-扩张后逐渐形成了三分天下之势,就连被挤到角落的中下游品牌也成功获得了数百万的融资。诚然,追逐风口是资本重要的特质之一,但隐形正畸的本质还是医疗本身。 不同于资本野蛮扩张、抢占市场的疯狂,医疗技术的研发需要漫长的时间与精力,故而在大肆消耗隐形正畸“美观、舒适”的优势过后,迟迟未有的技术突破让曾经耀眼的金字招牌也纷纷露出了疲态。 从发展困境来看,摆在所有正畸品牌面前的问题几乎是一致的——有没有一种可能,让现有的隐形正畸有本质上的技术突破?战火连天中,又有谁还能保持冷静,为正畸技术的发展提供一份干净、健康的学术土壤? 这个答案出现在了2019年国际COS正畸大会上。
“银瓶乍破水浆迸,铁骑突出刀枪鸣” 2019年9月,正雅与泰康拜博沈刚正畸团队合作研发出了S8·S9·S10颌位重建隐形技术解决方案,将颌位重建的概念与突面畸形的分类、诊断推到了大众面前; 2020年3月,正雅联合沈刚团队联合发布正雅牙弓重塑隐形矫形创新技术S11,再度创新,把隐形正畸从牙列拓展至腭部。需要注意的是,类似S11腭部结构的概念,目前尚未出现第二个吃螃蟹的人。 同年9月,正雅与沈刚团队重磅推出S12,把现代隐形技术与经典固定矫治技术有机融合,发挥叠加优势。
三声枪响,正雅与沈刚正畸团队布下的GS治疗体系强势地打破了沉寂已久的隐形正畸领域,也给仍停留在原地为抢占市场份额争得头破血流的其他品牌造成了技术型降维打击。 在此之前,头部隐形正畸品牌各产品之间并没有绝对的壁垒。纵然有少数头部隐形正畸品牌加入到上游原材料膜片的研发中,但依然难以避免同质化的走向,究其原因主要在于隐形正畸技术仍旧广泛依赖于传统的安氏分类。 安氏分类起源于1899年,由安格尔提出,可一方面由于安氏分类局限于磨牙的近远中关系,另一方面国人错颌畸形的复杂程度不单只源于牙列不齐,因此越来越多的错颌畸形无法用百年前的安氏分类准确地表达。换而言之,在进行突面畸形矫正的时候需要立足于牙-颌-面多个维度,避免拔牙后间隙无法关闭的情况,又或是勉强关闭间隙后面型反而没有得到改善。
沈刚教授提出的颌位重建技术最大的亮点即是它打破了安氏分类仅限于牙列的困局,深入挖掘错颌畸形本质,以患者面型作为考察入口,进行突面畸形的分类与诊断,将其分为牙槽性、骨源性、颌位性及混合性(混合I型、混合II型),并提出了颌位重建的正畸概念。
“潜心学术须博学,厚积薄发靠笃行” 实际上,沈刚教授在与正雅接触之前在突面畸形这一高难度领域已潜心钻研了近三十年。早在1997年沈刚教授已开展下颌前导矫形相关的大鼠实验,并在2018年获得专利授权。这在受资本影响而变得浮躁的正畸领域是难能可贵的。 2019年,基于“创新技术+普惠患者”这一共识,正雅与沈刚教授达成合作,携手推动正雅颌位重建技术的落地。为更好地进行产品规划与技术调研,持续跟进和对接产品需求,正雅每周都会与沈刚正畸团队一起进行技术研讨会,及时调整磨合,不断补充与丰富颌位重建技术在产品线上的应用,精益求精,从点到线,终于将颌位重建技术的理念与技术沉淀融入到正雅S8·S9·S10的体系中。 一方面,正雅颌位重建技术不仅完善了突面畸形、凹面畸形与偏颌的治疗方案,更重要的是它解决了混I型、混II型等病例拔牙后间隙难以关闭、面型未能改善的口腔临床陈年难题。沈刚教授多次强调:“对于有颌位性因素的突面畸形,一定要慎重考虑拔牙,尤其是混I、混II型,因为这类患者上牙槽本身比较饱满,但上牙列实际上拥挤程度较轻,采取拔牙方案反而导致间隙难以关闭、进一步加深深覆合,从而阻挡上颌内收的恶性循环。” 另一方面颌位重建技术对于TMJ改建也具有里程碑式的重要意义。通过opg、CBCT多维度的检测,不难看出在使用S8-SGTB治疗后,患者严重吸收的髁突达到了较为完整的修复。
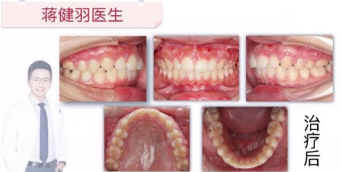
(图为沈刚正畸团队-蒋健羽医生某混I病例治疗真实效果)
“作为医生这样一个职业,无论你在哪个平台,公立还是非公立,学习是终身的。”沈刚教授一直秉持着为医者终身学习、受惠患者的理念。2020年,正雅与沈刚正畸团队开始了整整一年的“正雅GS颌位重建技术学术峰会”全国巡讲,数万名医生自发参与,并纷纷对沈刚教授提出了感谢与敬意。 近年来,尝到医疗行业甜头的资本涌入正畸市场,滋生出大量的隐形正畸品牌。正雅GS颌位重建技术学术峰会并不仅仅是想要把颌位重建的概念推广出去,更重要的是希望通过自身的影响力,规范当下的隐形正畸市场,让隐形正畸可以重新回到医疗的正轨之上。目前,正雅GS病例已陆续完成了许多优秀病例,除沈刚正畸团队公布的真实病例外,全国已有众多口腔医生同样提交了GS病例,参与到正雅GS好病例大赏中。
一家会赚钱的企业或许会被写进历史,但真正带来了革命性技术的企业才会成为历史的转折点。从千禧年至今,隐形正畸已经消耗了整整20年的市场红利,看似平步青云,实际如履薄冰。正雅创始人姚峻峰先生所说的一句话或许值得所有人思考:“国内隐形正畸市场依然持有很可观的前景,但这并不妨碍正雅想走得更稳一点,也更远一点,去看一看现有的正畸领域以外更大的世界。” 正是在这样共同的理想之下,正雅与沈刚正畸团队才能齐心协力地走在一起,毅然投身于正畸高难病症-颌位重建技术的研发合作,专注于更适合国人的隐形正畸方案,深入国人复杂的错颌畸形发病机制,提供个性化的颌位重建方案,实现矫牙矫形同步进行,提高矫治效率,减轻患者的临床痛苦,为国人的生活带来更多美好而积极的改变。2020年,是正雅与沈刚正畸团队锐意进取、持续创新的一年,GS治疗体系的逐步形成奠定了正雅难以撼动的竞争优势;2021年,正雅将继续携手沈刚正畸团队攻坚克难,潜心研发S17、S18,进一步拓展隐形正畸的适应症边界。 人类的发展离不开对于未知的好奇。如同时间简史中赫拉利说言:“人类需要一个新的故事”,或许未来某一天我们站在时代的长河里回望,近30年的临床心血、一年25场行业学会峰会,数万医生的学习培训,以及每一个为推动正畸技术发展而奔波的人,都将成为故事里清晰而有力的一笔。 (责任编辑:Doctor001) |












