中国医药网

当前位置: 网站首页 > 媒体发稿 >

德胜门中医院眼科迟润华谈视网膜色素变性的诊断

时间:2018-02-26 11:09来源:媒体投稿 作者:Doctor001 点击:
视网膜色素变性(Retinitis Pigmentosa,简称RP)是一组可以造成视力进行性下降的疾病,它主要的损伤部位在眼底的视网膜。视网膜中有可以对外界光线进行反应的细胞,即感光细胞,这些细胞出现进行性功能丧失,从而导致一系列症状。 视网膜色素变性的主要症状包含以
 视网膜色素变性(Retinitis ﻪPigmentosa,简称RP)是一组可以造成视力进行性下降的疾病,它主要的损伤部位在眼底的视网膜。视网膜中有可以对外界光线进行反应的细胞,即感光细胞,这些细胞出现进行性功能丧失,从而导致一系列症状。



视网膜色素变性的主要症状包含以下几方面:

1.夜盲:这是最早出现的症状,常在儿童或少年时期发生。患者在黄昏或较暗光线下难以看清,造成行动困难,同时从较亮环境进入较暗环境时难以适应。因为这一症状不明显,经常会被忽略。所以如果出现在较暗环境下视力下降、看不清的情况,需要及时去医院就诊,进一步检查。

2.周边视野缺损:随着病程发展,周边视野逐渐缩小,到40岁时,大部分患者周边视力很差,但仍可保持相当好的中心视力,但由于处于管视状态,行动较为受限。

对于疑诊为视网膜变性的患者,医生可能会开具一些检查,主要包括以下几种:

1、视力:一般会验光查矫正视力,即戴眼镜的最好视力。

2、视野:可以帮助判断患者周边视力情况,明确有无周边视野受损,评估病情严重程度。

3、色觉:影响色觉的细胞主要位于视网膜中心,简单的评价色觉可以帮助评价视网膜中心受损情况。

4、视网膜电图(ERG):通过捕捉视网膜的电信号而进行诊断,如果视网膜色素变性造成了视网膜损伤,所得到的信号则为异常信号。

5、OCT(光相干断层成像):这是一种简单的检查,不同于普通的CT,是通过光学原理检查视网膜切面的情况,可以看到视网膜各层结构。完成检查只需要几分钟,没有放射线,并且对眼部没有任何损伤。通过这种简单的检查,可以清楚看到感光细胞层是否受累,是很重要的一种评估方式。

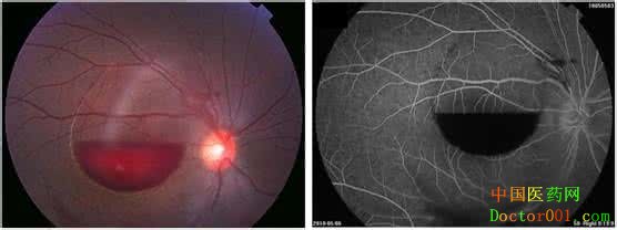
6、彩色眼底照相及眼底荧光血管造影。

5、抽血检查:目前已经发现了50多种与视网膜色素变性有关的基因,抽血进行遗传分析和基因检测,可以帮助患者明确具体的致病基因,从而分析致病基因是新突变产生还是由双亲遗传下来的,推算疾病遗传给下一代的风险,向患者或家属提出生育对策和建议,并为将来可能进行的基因治疗做准备。

>>>>微信搜索“北京德胜门中医院眼科”添加关注了解更多眼病常识
(责任编辑:Doctor001)
顶一下
(0)
0%
踩一下
(0)
0%
------分隔线----------------------------