|
牙套是用来矫正牙齿整齐度的工具。据调查,美国人较想美化的身体部位是牙齿。凭借较为先进的牙齿矫正技术,在美国,身体健康的40岁以下成年人都有机会通过漂白、镶饰、牙填充及矫正等手段,让自己拥有灿烂的笑容。牙套在牙齿矫正中起着至关重要的作用。那么大家关注的问题来了——牙套多少钱呢?
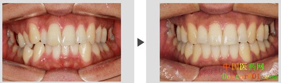
牙齿矫正前后对比
【牙套多少钱?】牙套的价格不是固定不变的,它受到以下因素的影响: 1、牙套价格要看具体的牙齿整齐情况。牙套与一般产品不同,它需要根据消费者的牙齿形状来制作,只有跟消费者牙齿的形状相吻合才能发挥矫正作用。而牙套的制作难度跟牙齿的歪斜情况直接相关。 2、牙套价格要看牙套的材料、种类。牙套的材料有很多种,比如有陶瓷牙套、机械牙套、无托槽隐形牙套、自锁式牙套,还有隐形牙套。不同材质的牙套机械性能、稳定性、舒适度、美观度都有所不同,价格也有明显差别。 3、牙套价格要看所在地区。相对于内地落后地区,发达地区的消费更高,牙套价格也要高一些。反之,牙套的价格就低。 4、牙套价格要看所选择的医院。不同的医院,服务质量不同,设备和技术都不同,医生经验也有所差别,因此牙套价格要看所选择的医院。 优伢仕口腔矫正钜惠季 1、隐形矫正最高直降20000 2、充值有礼 充10000送2000 3、矫正四项半价 3M树脂补牙五折、根管治疗五折、牙齿美白五折、牙周治疗五折 4、上门有礼 矫正上门即送电动牙刷 5、矫正四大免费 免费拍全景、免费拍侧位、免费取模、免费设计方案分析。 活动时间:即日起至8月31日,数量有限先到先得哟!可拨打0731-83298880抢先预约! 【“隐形矫正”如何矫治牙齿】 根据矫治方案,通过专用的,先进的计算机软件模拟矫正过程,并用进口弹性透明医用高分子材料为每一个过程制作一个矫治器,整个矫治过程就是换用这一系列矫治器。在每次戴用时,牙齿都会有受力的感觉,并向该矫治器设计的位置移动。每两周更换一副矫治器,牙齿就会从初始的畸形状态逐渐移动至正常排列状态,从而达到矫治效果。 和传统的托槽钢丝矫治比较,隐形矫治器拥有五大优点: 1、隐形:由于矫治器透明的特质,使牙齿矫治旁人几无察觉,解除了成人矫治牙齿时对美观的顾虑。 2、舒适:异物感较小,无口腔黏膜刺激。 3、方便:可自行摘戴,不影响进食。 4、清洁:可取下矫治器刷牙,口腔卫生易于维护。 5、可预见:医生和顾客可以在治疗前预先看到模拟的矫治过程和结果,更好地选择个性化的矫治方案。 优伢仕口腔温馨提示:没有专业的医生实施使用,就算是再好的技术,也是无法达到理想的预期效果。所以建议想用隐形矫治器矫正牙齿的你,要注重对医生的选择:一看是否是隐形矫治器认证医生,二看是否具有丰富的临床经验。选择符合这两个条件的医生,在运用隐形矫治器进行矫正时,可达到事半功倍的效果,定能让你对自己的牙齿矫正十分满意。
|






