|
肺炎是一种严重的肺部感染,常见症状包括咳嗽、呼吸急促或困难、发热、食欲下降等,部分婴儿仅有精神食欲差、口吐白沫的症状。儿童处于生长发育期,免疫功能不健全,免疫球蛋白含量较低,易发生感染,3岁以内婴幼儿是肺炎的高发人群。
重症肺炎是一种严重甚至致死性的重症感染性疾病,感染起源于肺部,可快速进展进而出现呼吸衰竭。该病多为快速进展性疾病,临床上重症肺炎及其并发的全身炎症反应综合征、多脏器功能衰竭等严重威胁患者的生命,病死率为30%-50%。
燕达医院儿科专家提示:肺炎并非感冒,早期识别至关重要
家长可通过监测体温、听咳嗽及呼吸的声音、观察孩子的精神状态、饮食睡眠情况等进行初级判断。
☞一是监测体温。肺炎发热多在38度以上,持续2-3天不退,使用退热药也只能暂时下降。而普通感冒发热,持续时间较短,用退热药效果明显。
☞二是听咳嗽及呼吸的声音。肺炎大多有咳嗽或喘,程度较重时常引起呼吸困难,严重时会出现口唇发紫。而普通感冒和支气管炎引起的咳嗽或喘一般症状较轻,一般不会引起呼吸困难。
☞三是观察精神状态。肺炎患儿精神状态不佳,常伴有烦躁、哭闹不安或昏睡等情况。普通感冒时,孩子一般精神状态较好,能逗乐进行简单玩耍。
☞四是饮食及睡眠。肺炎患儿食欲下降明显,且睡眠质量差,易醒、爱哭闹,夜间有呼吸困难加重的趋势。普通感冒的孩子,吃东西、吃奶量可减少,但饮食和睡眠基本正常。
近期案例: 儿童节前一周,8岁的小彬还兴高采烈、欢蹦乱跳的去北京参加爵士舞表演。然而,回来时地铁空调的冷飕飕,加之爸爸感冒的传染,导致小彬的身体开始“抱恙”。在持续7天咳嗽、4天发热后,小彬终于被家人带到燕达医院儿科门诊,以肺炎入院。
凶险:常规治疗不见好 高烧反反复复
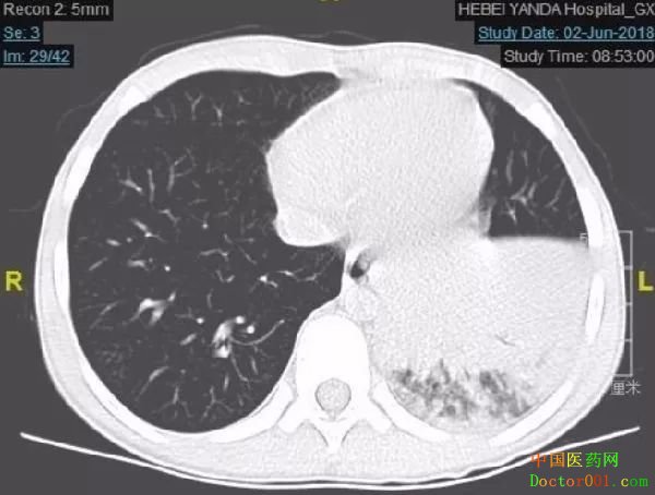
住院后,经胸部CT进一步检查后,显示小彬的肺部有大片实变影,且有大量胸腔积液,最终确诊为大叶性肺炎。
入院后等待病原学检查结果的同时联合使用头孢及阿奇霉素进行抗感染、化痰、退烧治疗后,小彬的发热间隔时间并没有明显改善。高烧寒战开始反反复复,发热的间隔也逐渐缩短,退烧药物已经只能管4小时,且高烧一度飙升至40°。
“他刚开始咳嗽时,症状很轻,没有引起重视,拖了一周后开始发烧我才开始着急”,小彬的妈妈愧疚的说。据小彬的责任医师刘洪飞介绍,小儿肺炎多是支气管肺炎、毛细支气管肺炎等小叶性肺炎,这种大片性肺炎相对少见。如果控制不好,里面可能会形成坏死、空洞,肺组织就坏了,如不及时治疗将会危及生命,后果不堪设想。
攻坚:精准判断调整治疗 14天康复出院
“他到院时,细胞免疫功能也非常低,淋巴细胞正常大多都在3000以上,他只有700多,免疫缺陷可能感染各种细菌和病毒,治疗起来难度也非常大”,刘洪飞医师介绍。
在经小儿急重症专家——燕达医院儿科中心副主任李红日主任会诊后,综合各种因素,考虑小彬平时身体尚好,免疫功能低下不支持原发性免疫缺陷,考虑是严重感染致继发性免疫功能低下,极有可能是细菌和支原体感染同时存在。
李红日主任立即调整治疗方案,在抗感染联合治疗的同时,因患儿有严重脓毒症症状,且有胸腔积液,完善肺结核检查除外肺结核的情况下,及时给予短期激素治疗。就这样,在李主任的精准判断与治疗下,第二天,小彬的体温明显下降,第三天体温便恢复正常,肺炎终于得到了控制,免疫功能复查也恢复了正常。
“一般成年人患这种重症大叶性肺炎,治疗通常需要在1个月左右。在燕达医院儿科以往的患儿中,重症大片肺炎的治疗周期也要在一个月左右,但像小彬这样治疗14天便康复出院,得益于李红日主任对感染的精确定位与治疗。”据刘洪飞医师介绍,在燕达医院儿科中心接诊患儿中,肺炎占比较高,提醒家长要早发现、早治疗,以免错过最佳治疗时机。
专家介绍
燕达医院儿科
“首儿所·燕达儿科疾病诊疗中心”于2015年8月8日正式揭牌成立,其为首都儿科研究所在河北燕达医院开设的综合性儿童疾病诊疗中心,旨在为0至14岁的新生儿、婴幼儿、学龄儿童及青少年提供全方位、高品质的疾病诊疗及健康保健服务。通过首儿所派驻中心的主任、学科建设顾问、常驻专家、定期出诊专家、资深护理人员,开展同质于首儿所的医教研工作。
河北燕达医院
河北燕达医院,为一座按照国家三甲标准设计建造的、大型三级非营利性综合医院。
在京冀两地政府及卫生主管部门的支持与推动下,燕达医院自2014年5月9日起先后与北京朝阳医院、北京天坛医院、首都儿科研究所附属儿童医院、北京中医医院、哈特瑞姆心脏医生集团等北京优质资源签署合作协议,引进北京协和医院、北京安贞医院、中日友好医院多家医院专家团,并与之开展多层次、多维度的长效、共建型战略合作。目前,燕达医院已形成以神经、心血管、妇儿、肿瘤等重点学科专业为龙头,综合科室全面发展的战略型学科布局。
燕达医院为“北京市医保持卡实时结算”、“北京市新农合定点医疗机构”、“河北省直属医保定点机构”、”廊坊市新农合定点医疗机构”、“三河市城镇职工医保、城镇居民医保、新农合定点医疗机构”、“国内国外多家商保公司结算”。
燕达医院拥有世界先进的大型医疗检查及手术设备,包括500排动态宝石CT、64排CT、3.0T磁共振、双C型臂血管造影机、机器人DSA、高能直线加速器、数字化心脏复合手术室等。 |








