|
秋天是收获的季节,而对于缺牙的老人来说,秋天却是牙齿种植好时节!
家庭医生口腔资深专家介绍说,牙齿缺失对老年人来说是不仅影响生活质量,更重要的会影响整个健康。
对于大多数中老人来说,秋天天气转凉,正式开始进补养生的好时机,而秋天天高气爽,凉风习习,有利于种植牙的恢复,并发症几率将大大减少。

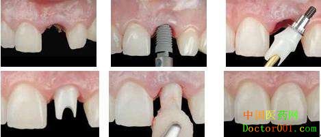
种植牙能恢复自然牙的咬合功能,一般假牙的咬合力只有自然牙的1/20,而种植牙的咬合力接近自然牙,可以嚼碎较硬的食物。
长期使用传统假牙,可引起牙槽骨萎缩。而在缺牙区植入种植体可增加该区牙槽骨的骨密度,并减少骨吸收,不会发生龋齿。
与传统假牙相比,种植牙更容易让您感受食物的美味与细腻,从而提高生活质量。种植牙能够保护邻牙,普通假牙需要磨除邻牙牙冠,损伤邻牙,而种植牙只在缺牙区植入,不会损伤邻牙。
种植牙还可以增加全口义齿的固位力,更好地固定全口义齿,使之更加牢固;摆脱活动假牙的不便。种植牙还可以摆脱活动假牙造成的牙龈疼痛、异物感、异味、发音影响等不便。
9月29日,来家庭医生口腔,德国口腔医学博士为羊城街坊免费看牙啦!
全民爱牙行动第二季
中德口腔前沿数字化种植研讨会

阿诺德 ·马丁
Dr. Mattias Arnold
德国精工微创种植牙专家
德国慕尼黑大学牙科学博士
国际口腔种植学会会员
国际创新协会(种植体)会员
德国威斯特法伦利珀市口腔协会成员
擅长项目:全口牙、半口牙缺失等精工微创型种植牙手术

马丁博士不仅种植技术高超,本身也是一个很亲和的人,前几次来家庭医生口腔亲诊,患者对这位很亲和的博士赞不绝口:“马丁博士人很好,之前非常幸运地拿到了亲诊名额,我有什么问题他都很耐心地跟我解释,还帮我种了一颗大牙,一点也不痛,种完不久就可以吃东西了,这个德国专家的种牙技术让我很佩服。”

森德博士
Dr. Konstantin Sander
德国全能种植牙专家
德国口腔执照认证CMD
德国种植协会成员DGI
德国ICX/Ankylos种植系统培训认证专家
拥有3项专利技术
擅长项目:各类型缺牙修复、all-on-4半/全口牙种植

过去受传统种植技术局限,高血压、高血脂、高血糖一度成为老人种牙的阻碍,如今借助森德博士所擅长的all-on-4半全口牙种植技术,‘三高’缺牙老人一样可以轻松种一口好牙,提升生活质量,改善饮食结构,乐享晚年美食生活。
除此之外,森德博士是一位“全能”种植牙专家,从业至今约有8500例种植经验,4800例正畸治疗经验, 1600例CMD治疗经验。
马丁博士&森德博士联合亲诊日
亲诊时间:9月29日
亲诊名额:前10名 预约者
可免费获得马丁博士、森德博士亲诊名额
预约热线:400-888-6991
医院地址:广州市越秀区东风东路660号
9月29日看牙福利:
德国高端进口种植牙 种1送2(原价16500元/颗)
口腔CBCT拍片检查 费用全免(原价350)
看牙即送豪华精美礼品!

大力士做种植牙
挑战用牙拉汽车
同时,在9月29日当天家庭医生口腔还将有一位重量级嘉宾大驾光临~
种过牙的人,觉得种牙比拔牙还轻松!但没种过牙的人,心中难免有顾虑:
种植牙坚固吗?种植牙能用多久啊?种植牙会不会掉啊……

为了让市民亲眼看见种植牙的受力程度,9月29日家庭医生口腔将在羊城发起种植牙拉汽车挑战亲证会,届时邀您一起见证!
这位身材精壮、面色红润的汉子,要不是那一捋花白胡子,真的看不出来已经年过花甲了。
他是“老年大力士”,曾获2013香港无装备卧推举国际邀请赛冠军,2016康比特杯第二届全国力量举大赛冠军,同时担任中国健美协会一级健身指导员,江湖人称“陈大力”。
据“陈大力”介绍:他今年67岁了,由于锻炼需要,他每天要摄入大量的鸡蛋、牛奶和肉。但在2013年的时候他经历了所有老年人都会经历的痛苦,那就是缺牙。因为缺牙难以正常进食,那段时间他时常感觉浑身乏力,严重影响他的锻炼进度。

做了种植牙之后的“陈大力”发觉种植牙比自己的天然牙还要坚固,虽然他67岁了但是牙齿比37岁的人更有力气,于是萌发了用种植牙来拉动汽车的想法并付诸行动,从开始的“吊哑铃”到“拉汽车”,“陈大力”的举动受到了越来越多人的关注。
想亲眼见证老年大力士如何用种植牙拉汽车吗?想让德国顶尖种植牙专家为你亲诊吗?
9月29日中家医家庭医生口腔与您不见不散!报名热线:400-888-6991
当天来院福利
德国高端进口种植牙 种1送2(原价16500元/颗)
口腔CBCT拍片检查 费用全免(原价 350)
看牙即送豪华精美礼品!
咨询热线: 400 888 6991 或 020-87332656
医院地址: 广州市越秀区东风东路660号 (中山大学北校区北门东侧)
乘车路线: 5号线/6号线区庄地铁站
(责任编辑:Doctor001) |