近日,皮肤病领域知名的英国同行评议类杂志《BritishJournalofDermatology》正式发表了Airdoc
人工智能算法团队与中国医学科学院皮肤病医院、密歇根大学计算医学与生物信息学系合作完成的题为
“Recognizingbasalcellcarcinomaonsmartphone-
captureddigitalhistopathologyimageswithadeepneuralnetwork“的研究成果。
BrJDermatol.2020Mar;182(3):754-762.doi:10.1111/bjd.18026.Epub2019Aug22.
此次研究中,中国科学家实现了皮肤科基底细胞癌识别和分类上的里程碑成果——通过人工智能算
法深入学习研究,构建出基于智能手机采集的microscopicocularimages
(MOI,目镜切片图像)实现基底细胞癌的自动识别和分割。此分割模型的IoU
(IntersectionoverUnion)达到0.863,特异性和敏感性达到0.969和0.939,较之前学术圈公布的海外研
究的0.764的IoU【1】,和0.927和0.869的特异性敏感性都有大幅提升【2】。

图1:灰色部分为人工识别癌组织,红色部分为研究算法识别癌组织。
基底细胞癌是发病率最高的皮肤癌,也是人类最为常见的恶性肿瘤之一。除黑色素瘤以外的皮肤癌
中,约80%都是基底细胞癌,金刚狼的扮演者休·杰克曼就曾得过基底细胞癌,并且复发了6次,影响了
自身的演艺事业。

图2:金刚狼扮演者休·杰克曼ins发布再患基底细胞癌
由于发病率高,皮肤病理医生每天都在跟基底细胞癌的病理切片打交道,工作量很大,而在基底细
胞癌Mohs手术后判断肿瘤切缘是否干净时,类似的工作量更是大大地增加。行业急需一种快速、严密的
人工智能计算方法来实现基底细胞癌的自动诊断以节约人力的资源。
由姜祎群、熊健皓和李洪阳领衔的研究团队使用了ResNet50和DeepLabV3对基底细胞癌的切片图像进
行癌变识别,和传统研究使用高清扫描切片作为识别对象不同,本次研究识别的切片图像来自于智能手
机通过目镜拍摄所得。研究人员在三种类型的图像来源上建立了三个分类模型(分别针对:10X高清扫描
切片、40X高清扫描切片和10X目镜切片图像)和一个分割模型,得出目镜切片图像的结果与高清扫描切
片具有可比性,建立的模型AUC达到0.98,并且能在不同类型的测试数据集上达到0.93的AUC,泛化性非
常好,分割模型的meanIoU到达0.86。这种模型是以后推广使用价格低廉的目镜图片拍摄进行基底细胞癌
检测的一种有效办法,可以减少购买高成本的扫描仪器,与此同时提供快速、准确的识别癌组织。

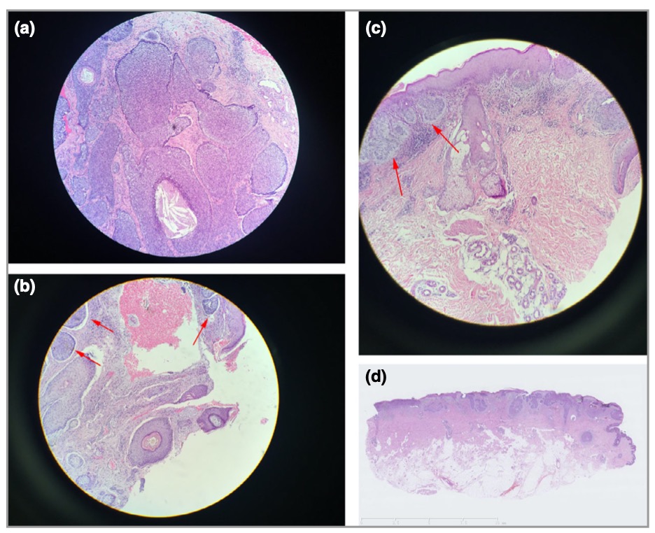
图3:abc为目镜切片图像,d为高清扫描切片

图4:三种识别系统
为方便不同场景的应用,科研团队研发出三种不同的系统。第一种Segmentation-
basedBCCrecognitionsystem,可以自动识别出癌组织,并在图像中标识清楚,花费时间约为16秒,能够
达到专家同等识别能力。第二种Classification-basedBCCrecognitionsystem,有无癌组织分类,直接
反馈识别结果,实现在高精度前提下的高速识别,花费时间仅需500毫秒。第三种
CascadeBCCrecognitionsystem,具备以上两种系统功能,并增添一个自动判断模块,在识别癌细胞前对
图像进行分类处理,在保持最高精准识别度的前提下,选择适合的识别方法,从而提高识别速度,仅需
4.1秒即可完成。
本次研究首次实现利用智能手机自带相机拍摄MOI,建立神经网络模型自动识别基底细胞癌,成功将
人工智能深度学习算法引入到基底细胞癌的识别中,通过算法自动化识别,减少人力工作和不同地区、
不同诊断医生之间的诊断差别让基底细胞癌患者得到更好更快更专业的治疗,对推进基底细胞癌的研究
有重大意义。
参考:
【1】
ChenLC,PapandreouG,SchroffF,AdamH.Rethinkingatrousconvolutionforsemanticimagesegmentation.A
vailableat:https://arxiv.org/abs/1706.05587(lastaccessed5June2019)【2】Cruz-
RoaAA,ArevaloOvalleJE,MadabhushiA,Gonz?
alezOsorioFA.Adeeplearningarchitectureforimagerepresentation,visualinterpretabilityandautom
atedbasal-cellcarcinomacancerdetec-tion.MedImageComputComputAssistInterv2013;16:403–10.
(责任编辑:Doctor001) |